Cancer cells detected more accurately in hospital with artificial intelligence
Cancer cells are to be detected and classified more efficiently and accurately, using ground-breaking artificial intelligence – thanks to a new collaboration between the University of Warwick, Intel Corporation, the Alan Turing Institute and University Hospitals Coventry & Warwickshire NHS Trust (UHCW).
Scientists at the University of Warwick’s Tissue Image Analytics (TIA) Laboratory - led by Professor Nasir Rajpoot from the Department of Computer Science - are creating a large, digital repository of a variety of tumour and immune cells found in thousands of human tissue samples, and are developing algorithms to recognize these cells automatically.
“We are very excited about working with Intel under the auspices of the strategic relationship between Intel and the Alan Turing Institute,” said Professor Rajpoot, who is also an Honorary Scientist at University Hospitals Coventry & Warwickshire NHS Trust (UHCW).
“The collaboration will enable us to benefit from world-class computer science expertise at Intel with the aim of optimising our digital pathology image analysis software pipeline and deploying some of the latest cutting-edge technologies developed in our lab for computer-assisted diagnosis and grading of cancer.”
The digital pathology imaging solution aims to enable pathologists to increase their accuracy and reliability in analysing cancerous tissue specimens over what can be achieved with existing methods.
“We have long known that important aspects of cellular pathology can be done faster with computers than by humans,” said Professor David Snead, clinical lead for cellular pathology and director of the UHCW Centre of Excellence.
“With this collaboration, we finally see a pathway toward bringing this science into practice. The successful adoption of these tools will stimulate better organisation of services, gains in efficiency, and above all, better care for patients, especially those with cancer.”
The initial work focuses on lung cancer. The University of Warwick and Intel are collaborating to improve a model for computers to recognize cellular distinctions associated with various grades and types of lung cancer by using artificial intelligence frameworks such as TensorFlow running on Intel® Xeon® processors.
UHCW is annotating the digital pathology images to help inform the model. The aim is to create a model that will eventually be useful in many types of cancer - creating more objective results, lowering the risk of human errors, and aiding oncologists and patients in their selection of treatments.
The TIA lab at Warwick and the Pathology Department at the UHCW have established the UHCW Centre of Excellence for Digital Pathology and begun digitising their histopathology service.
This digital pathology imaging solution will be the next step in revolutionising traditional healthcare with computerised systems and could be placed in any pathology department, in any hospital.
The project has been launched in collaboration with Intel and the Alan Turing Institute - the latter being the UK’s national centre for data science, founded in 2015 in a joint venture between the University of Warwick and other top UK universities.
“This project is an excellent example of data science's potential to underpin critical improvements in health and well-being, an area of great importance to the Alan Turing Institute," said Dr. Anthony Lee, the Strategic Programme Director at the Alan Turing Institute for the collaboration between the Institute and Intel.
Rick Cnossen, general manager of HIT-Imaging Analytics in Intel’s Data Center Group, commented, “This project has massive potential benefit for cellular pathology, and Intel technologies are the foundation for enabling this transformation.
"We’ve seen what has happened over recent years with the digitisation of X-rays (PACS). The opportunity to transform the way pathology images are handled and analysed, building on experience with PACS and combining data with other sources, could be truly ground-breaking.
"This collaboration could not only improve service efficiency, but also open up new and exciting analytical techniques for more personalised precision care.”
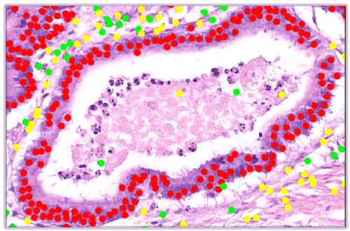
Image: Microscopic landscape of various types of cells - including tumour cells (in red). Click image for high-res.
5 May 2017
Further information, contact:
Luke Walton, International Press Officer
+44 (0) 7824 540 863
+44 (0) 2476 150 868
L dot Walton dot 1 at warwick dot ac dot uk
