Worlds first named dinosaur reveals new teeth with scanning tech
- Cutting-edge technology at WMG, University of Warwick sheds fresh light on world’s first scientifically-described dinosaur, Megalosaurus
- Previously unseen teeth revealed in the jawbone, and historic restorations less extensive than thought
- Digital 3D image of the fossil created with CT scanning technology and specialist analysis software - enabling researchers to see inside jawbone in great detail for the first time
- Megalosaurus is held at the Oxford University Museum of Natural History - it lived in the Jurassic period, around 167 million years ago
Pioneering technology has shed fresh light on the world’s first scientifically-described dinosaur fossil – over 200 years after it was first discovered - thanks to research by WMG at the University of Warwick and the University of Oxford’s Museum of Natural History.
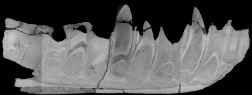
Professor Mark Williams at WMG has revealed five previously unseen teeth in the jawbone of the Megalosaurus – and that historical repairs on the fossil may have been less extensive than previously thought.
Using state of the art CT scanning technology and specialist 3D analysis software, Professor Williams took more than 3000 X-ray images of the world-famous Megalosaurus jawbone, creating a digital three-dimensional image of the fossil.
In an unprecedented level of analysis, Professor Williams at WMG was able to see inside the jawbone for the first time, tracing the roots of teeth and the extent of different repairs.
Some damage occurred to the specimen when it was removed from the rock, possibly shortly after it was discovered.
Records at the Oxford University Museum of Natural History suggest that some restoration work may have been undertaken by a museum assistant between 1927 and 1931, while repairing the specimen for display - but there are no details about the extent of the repairs or the materials used.
The scans have revealed previously unseen teeth that were growing deep within the jaw before the animal died - including the remains of old, worn teeth and also tiny newly growing teeth.
The scans also show the true extent of repairs on the fossil for the first time, revealing that there may have been at least two phases of repair, using different types of plaster.
This new information will help the museum make important decisions about any future restoration work on the specimen.
This research was made possible through a collaboration between Professor Williams’ research group at WMG, University of Warwick – including PhD researcher Paul Wilson - and Professor Paul Smith, director of the Oxford University Museum of Natural History.
Professor Williams commented:
“Being able to use state-of-the-art technology normally reserved for aerospace and automotive engineering to scan such a rare and iconic natural history specimen was a fantastic opportunity.
“When I was growing up I was fascinated with dinosaurs and clearly remember seeing pictures of the Megalosaurus jaw in books that I read. Having access to and scanning the real thing was an incredible experience.”
The Megalosaurus jawbone is on display at the Oxford University Museum of Natural History alongside other bones from the skeleton.
Megalosaurus – which means ‘Great Lizard’ – was a meat-eating dinosaur which lived in the Middle Jurassic, around 167 million years ago. It would have been about 9 metres long and weighed about 1.4 tonnes (1400 kg).
The research was recently presented at the Institute of Electrical and Electronics Engineers (IEEE)’s International Instrumentation and Measurement Technology Conference in Torino, Italy.
The full paper, ‘Utilizing X-Ray Computed Tomography for Heritage Conservation: The case of Megalosaurus bucklandii’ is available here.
Notes to editors:
Image 1: Attached is an artist’s impression of how Victorian palaeontologists thought the Megalosaurus looked (right), compared with how we now understand it to have looked (left). Credit University of Warwick/Mark Garlick.
Images 2 & 3: Scans of the Megalosaurus jawbone. Credit University of Warwick
8 June 2017
Further information, contact:
Luke Walton, International Press Officer
+44 (0) 7824 540 863
+44 (0) 2476 150 868
L dot Walton dot 1 at warwick dot ac dot uk


